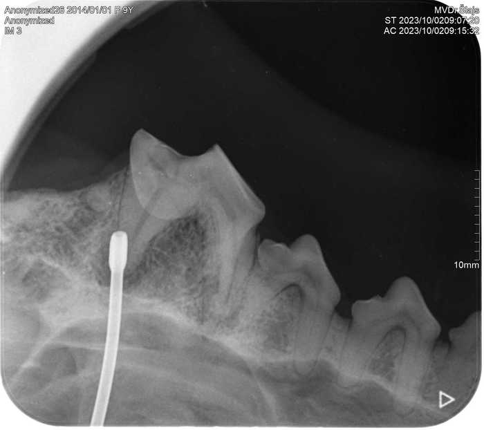
Již nyní má na našem pracovišti RTG vyšetření nezastupitelné místo během vyšetření zubů a dutiny ústní u králíků, morčat, psů i koček.
Zubní intraorální RTG nám umožňuje přesnější diagnostiku onemocnění zubů, díky čemuž je úspěšnější i léčba.
S pomocí intraorálního RTG s vysokým rozlišením jsme schopni ještě před vlastním zubařským zákrokem přesně stanovit diagnózu a rozhodnout, zda a kde přesně provést chirurgický zákrok.
Díky posouzení zubních kořenů a stavu kostního podkladu zubů můžeme provést zákrok přesně v místě, kde je potřeba a stanovit následnou léčbu tak, aby hojení probíhalo co nejrychleji a pacient nemusel zbytečně podstupovat opakované ošetření.
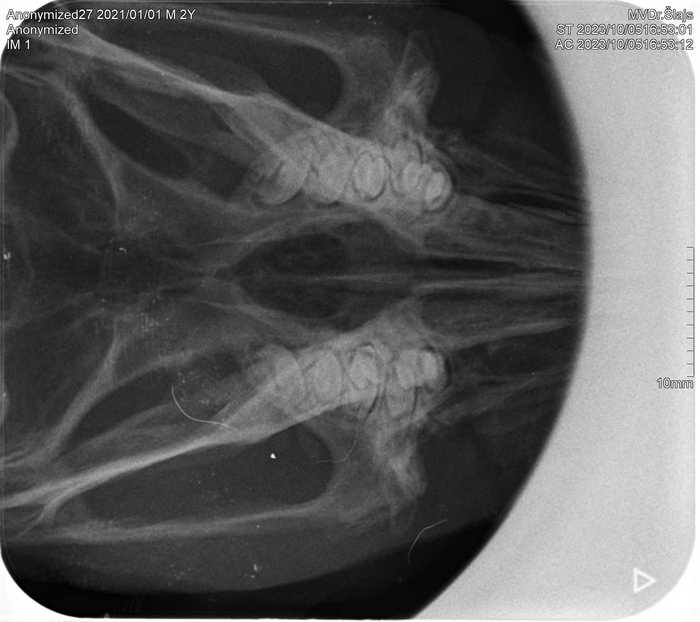
U hlodavců je RTG vyšetření nezbytné pro správné řešení syndromu onemocnění dentice (přerůstání zubů, nesprávný růst zubů). Při broušení přerostlých zubů vždy kontrolujeme i správný růst kořenů zubů právě pomocí RTG.
Pondělí: 8:00 - 12:00 14:00 - 17:00
Úterý: 8:00 - 12:00 14:00 - 17:00
Středa: 8:00 - 12:00 14:00 - 17:00
Čtvrtek: 8:00 - 12:00 14:00 - 17:00
Pátek: 8:00 - 12:00 14:00 - 17:00
Pondělí: - 14:00 - 17:00
Úterý: 7:00 - 8:30-
Středa: - 14:00 - 17:00
Čtvrtek: - -
Pátek: 7:00 - 8:30-